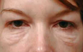
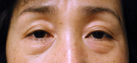
Blepharoplasty Gallery in Michigan
Conveniently located to serve Birmingham, Bloomfield Hills, Troy, Novi, and Metro Detroit




























Take The First Step Toward Your Aesthetic Goals
Ready to feel more confident, refreshed, and empowered? Fill out our contact form to connect with Detroit’s most trusted board certified plastic surgeon. Whether you're considering breast enhancement, body contouring, or facial rejuvenation, we’re here to listen and guide you toward the right solution.

